2022 年 12 月 07 日
4226
淺談甲狀腺疾病
常見的甲狀腺疾病,包括甲狀腺機能亢進、甲狀腺機能低下、甲狀腺腫大、慢性甲狀腺炎、甲狀腺結節以及甲狀腺癌等。
甲狀腺1.jpg

認識甲狀腺疾病:

甲狀腺簡單來講掌管的是我們的新陳代謝功能,牽連到我們生活上很多的層面,舉凡體重、心血管疾病、失眠、青少年發育等都佔有很大的因素。常見的甲狀腺疾病,包括甲狀腺機能亢進、甲狀腺機能低下、甲狀腺腫大、慢性甲狀腺炎、甲狀腺結節以及甲狀腺癌等。

 

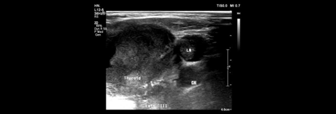
常見的甲狀腺疾病:甲狀腺炎、甲狀腺結節、甲狀腺癌

圖一(甲狀腺炎 超音波照  /  佳齡生活健康中心 耳鼻喉科主治醫師 孫強醫師提供 )

 

圖二(甲狀腺結節 超音波照  /  佳齡生活健康中心 耳鼻喉科主治醫師 孫強醫師提供 )




圖三(甲狀腺癌 超音波照  /  佳齡生活健康中心 耳鼻喉科主治醫師 孫強醫師提供 )
 

其實甲狀腺疾病在我們生活中並不少見,台灣在民國六零年代之前一直都還是地域性甲狀腺腫地區,自從民國五十六年政府全面在食鹽中加入碘以後,台灣成年人甲狀腺腫的盛行率已下降至25%以下。
 

但是臨床上,還是可以在門診發現許多不知道自己甲狀腺有問題的病人,甚至比高血壓、糖尿病、痛風等常見的慢性病病人還多。那除了飲食中的碘之外,還是有其他的因素可以導致甲狀腺疾病,如遺傳、自體免疫、環境、飲用水、長期壓力、病毒感染、放射線或是藥物影響等。
 

所表現的徵狀中,最容易被觀察到的當然是頸部腫塊,跟其他頸部腫塊最大的差別是他會跟隨吞嚥上下活動,當然甲狀腺腫大有可能是良性或惡性,需要專業醫師來評估,如果是在功能上有變化症狀可以分為亢進或是低下,亢進的話會有多汗怕熱、心律不整、緊張失眠、拉肚子、體重減輕等,低下的話則是相反,例如怕冷、皮膚冰冷、容易疲倦、嗜睡、便祕、記憶力變差、情緒低落等。
我們的身體各個部分是互相緊密地相連,生理跟心理是息息相關的,當身體發生警報的時候,就像車子一樣,讓我們先停下來檢查好再上路,才能跑得又快又穩。

 



若您想進一步了解家齡聯合診所,或是欲諮詢相關資訊,歡迎來電或來信預約,將有專人為您服務,提供最適合您的解決方案。

家齡聯合門診營業時間:
◆週一至週五
早診09:00-12:00
午診14:00-17:00
晚診17:30-20:30
◆週六
早診09:00-12:00

電話:02-2721-1258
諮詢信箱:service@blueborders.com.tw
地址:臺北市大安區敦化南路一段 205 號 B1
立即了解:https://family.healthspan.com.tw/
我要掛號:https://reurl.cc/eW6DoK
家齡,幫助你在人生的道路上一帆風順
 


作者

 

 

 

 

 

 

 

 

孫強 醫師
佳齡生活健康中心
耳鼻喉科主治醫師
👉 點此預約門診掛號

專長:
● 上呼吸道感染、鼻過敏、頭頸部腫瘤、聽力保健、睡眠呼吸中止
● 頭頸部(甲狀腺)超音波、聲音沙啞、吞嚥困難、口乾

現職:
● 佳齡生活健康中心 耳鼻喉科 主治醫師
● 衛生福利部雙和醫院 兼任主治醫師

經歷:
● 臺北醫學大學附設醫院 主治醫師
● 密西根大學 研究醫師

學歷:
● 臺北醫學大學醫學資訊所 碩士
 


佳齡頻道:https://reurl.cc/gQm984
佳齡粉絲專頁:https://www.facebook.com/healthspantw

您的安心託付,我們用心照顧
佳齡,加您 Empower health with us