2024 年 05 月 06 日
16896
發燒、腹痛,可能是肝膿瘍?不可輕忽的病症帶你一次了解
肝膿瘍,顧名思義就是在肝臟裡有化膿的腫塊,常見的肝膿瘍分為細菌性肝膿瘍及阿米巴肝膿瘍。典型的症狀為發燒及腹痛,其他伴隨的症狀可能有噁心、嘔吐、食慾不佳、體重減輕或是疲倦。 大約百分之九十的病人都會有發燒症狀,而有一半到四分之三的病人會有腹痛。腹痛的位置會偏右上腹,會有稍微晃動疼痛或是甚至反彈痛。
肝膿殇2.jpg

肝膿瘍是什麼?

肝膿瘍,顧名思義就是在肝臟裡有化膿的腫塊。常見的肝膿瘍分為細菌性肝膿瘍 (Pyogenic liver abscesses)及阿米巴肝膿瘍 (Amoebic liver abscess)。

肝膿瘍發生比率佔了約一半的腹內器官膿瘍的發生率,男性發生的比率比女性高, 台灣也算是發生率高的地區,每十萬人約有17.6人
​​​​
肝膿瘍的危險因子包括糖尿病、本身有肝膽胰疾病、接受過肝移植的病人、長期使用氫質子幫浦抑制劑 proton pump inhibitor, PPI 等。
 

肝膿瘍的常見種類與好發族群

克雷伯氏肺炎菌 Klebsiella pneumoniae 是細菌性肝膿瘍最常見的菌種,但是肝膿瘍通常是多種細菌引起,以腸道兼氧性細菌及厭氧性細菌為大宗。

一般來說,肝膿瘍的形成可能是有腸道感染、腹膜炎、膽道感染通常一半是因為有膽道阻塞引起,手術傷口、穿刺傷口、甚至是全身性感染引起血行性感染hematogenous seeding 造成。

阿米巴肝膿瘍則常見於成年男性,通常是40歲至50歲。 在開發中國家,通常都是盛行區之居民帶入。假若有去盛行區旅行,有可能在8到20周內發生臨床症狀。

 

肝膿瘍典型的臨床症狀

典型的症狀為發燒及腹痛,其他伴隨的症狀可能有噁心、嘔吐、食慾不佳、體重減輕或是疲倦。

大約百分之九十的病人都會有發燒症狀,而有一半到四分之三的病人會有腹痛。腹痛的位置會偏右上腹,會有稍微晃動疼痛或是甚至反彈痛。

有時候病人也會有黃疸的表現。有些阿米巴肝膿瘍也會有腹瀉或是腸道感染的症狀。

抽血的檢驗結果可能會有膽紅素上升、肝指數上升、白血球增多、白蛋白下降或是貧血的情形;如果是阿米巴肝膿瘍,比較常見的是白血球增多、鹼性磷酸酶上升及肝指數上升。
 

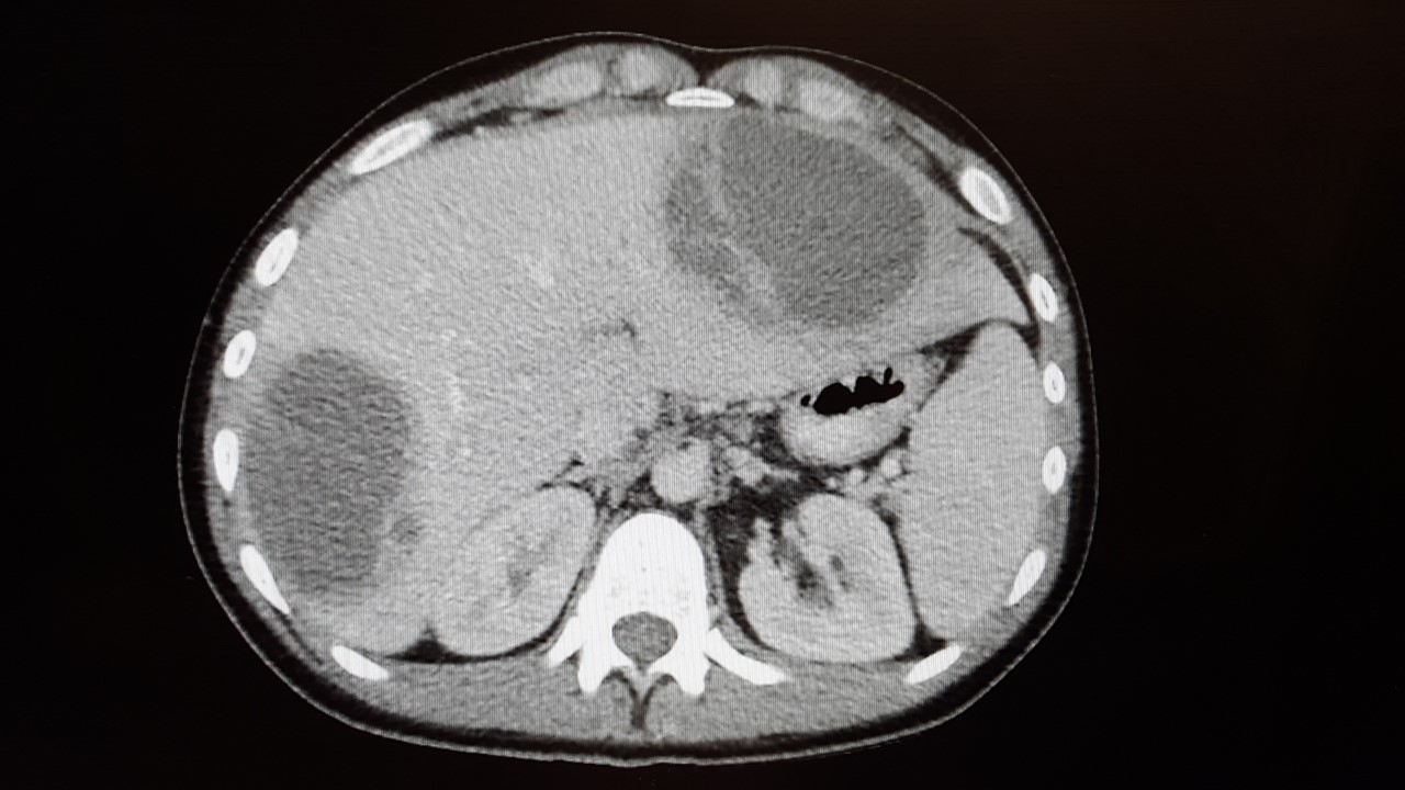
肝膿瘍的診斷方式

通常從影像檢查有看到肝臟內有腫塊、合併發燒及右上腹痛、抽血肝指數或是黃疸指數上升就需要高度懷疑肝膿瘍。

從影像學檢查去排除是否是有肝囊腫或是肝腫瘤是非常重要的。如果影像疑似肝膿瘍,則直接做抽吸取樣或是引流,發現裡面都是化膿的液體或是可看出或培養出細菌,即為確診。

阿米巴肝膿瘍常見位於肝臟右葉後方,可能高達八成都是單一病灶。
 

肝膿瘍如何進行檢查?

一旦懷疑是肝膿瘍,抽取血液做細菌培養是最優先需要做的。接著評估是否可以做肝膿瘍的抽吸或是引流。一般來說,細菌性的肝膿瘍會有一半的人有血液培養陽性。 

此外,全血球分析,肝腎功能檢查以及電解質檢驗都可以協助評估感染的程度與狀況。

影像學檢查通常建議做腹部超音波檢查及電腦斷層檢查。電腦斷層對於肝膿瘍有很好的敏感性95% 而且可以同時評估是否有合併其他的腹內感染。

但是當電腦斷層無法確定是細菌性肝膿瘍或是阿米巴肝膿瘍。核磁共振也可以協助評估是否為肝膿瘍,但是使用的機會相對低。

若是針對阿米巴肝膿瘍,可以檢測血液抗體,若是結果為陰性,則為阿米巴肝膿瘍的機會低。


 

肝膿瘍如何進行治療?

治療細菌性肝膿瘍的方式則包含引流及抗生素治療。

●  引流
針對引流的部分,同時有治療及確定病原菌的優點,引流的方式有超音波導引引流、電腦斷層導引引流、手術引流、腹腔鏡手術引流等等。

通常單一顆小於5公分的膿瘍,可以考慮單次抽吸或是直接放置引流管。若單一顆大於5公分則是建議可以放置引流管治療效果會更好。

若是多顆肝膿瘍,則須依照每個人的狀況做不同的治療計劃。

●  抗生素治療
抗生素治療都會使用廣效性抗生素,涵蓋有效範圍包括鏈球菌、腸內葛蘭氏陰性菌及厭氧菌。

此外,阿米巴肝膿瘍也都會是抗生素治療需要涵蓋的範圍。除非之後的檢驗結果出來顯示非阿米巴引起之肝膿瘍。則會根據檢驗結果來做抗生素的調整。

一般而言,肝膿瘍的治療建議總共使用抗生素包含針劑與口服療程需要約4周到6周。

對引流效果好的病人,有可能針劑的抗生素可以只用2周到4周。 但對於引流效果不佳的病人,則建議要用滿4到6周的針劑抗生素。 通常根據感染的程度及病人對治療的效果來決定抗生素使用之時間。

阿米巴肝膿瘍一般來說不需要做引流,單用抗生素治療下,治療有反應效果高達九成,除非是左側單一大的肝膿瘍,接受抗生素治療五天後效果不佳或是診斷不確定的情況下,才需要考慮做引流。

 

肝膿瘍的預後情形

大致上,根據不同的治療方式跟病人的狀況,死亡率可能有2%-12%不等。

阿米巴肝膿瘍治療後,死亡率小於1%,但若有膽紅素升高、白蛋白低、大的肝膿瘍或是多顆肝膿瘍、或併發腦病變,則死亡率就會提高。

 

肝膿瘍該如何持續進行追蹤?     

臨床症狀的減輕及進步會比影像學檢查改善快,影像學的表現有可能需要一段時間才會完全恢復。一般而言,在接受抗生素治療期間,會根據治療的反應,定期用腹部超音波追蹤。

對於接受完整療程治療後的肝膿瘍不一定需要追蹤,但是若有持續症狀或是之前引流狀況不佳的病人則依照狀況可再安排影像追蹤,若有疑慮應與醫師做充分討論。


 

若您想進一步了解家齡聯合診所,或是欲諮詢相關資訊,歡迎來電或來信預約,將有專人為您服務,提供最適合您的解決方案。

家齡聯合門診營業時間:
◆   週一至週五
早診09:00-12:00
午診14:00-17:00
晚診17:30-20:30
◆   週六
早診09:00-12:00

電話:02-2721-1258
諮詢信箱:service@blueborders.com.tw
地址:臺北市大安區敦化南路一段 205 號 B1
認識家齡:https://family.healthspan.com.tw/

 


作者

 

曾亮瑋 醫師
 

 

 

 

 

醫療背景
●    臺灣大學公共衛生學院 公共衛生研究所 碩士

資歷
●    佳齡生活健康中心 內視鏡中心 主任
●    臺大醫院  胃腸肝膽科  兼任主治醫師
●    臺大癌醫  胃腸肝膽科  兼任主治醫師 
●    臺大醫院   內科部    住院醫師
●    臺大醫院   胃腸肝膽科   總醫師
●    輔大醫院   胃腸肝膽科  主治醫師
●    東京醫科大學 內視鏡研修

專長
●    慢性 B/C 型肝炎及肝腫瘤之診斷、治療及追蹤
●    腹部超音波
●    內視鏡超音波診斷及內視鏡超音波導引細針切片術
●    治療性內視鏡如逆行性膽胰管攝影術、胃及大腸息肉切除術、內視鏡止血術等


佳齡頻道:https://reurl.cc/gQm984
佳齡粉絲專頁:https://www.facebook.com/healthspantw
佳齡LINE@:https://pse.is/4krd9z

您的安心託付,我們用心照顧
佳齡,加您 Empower health with us